What Sets Us Apart
With six convenient locations and a commitment to making every visit the best part of your day, we create smiles that last a lifetime.
Learn More
Personalized Care
We tailor each treatment plan to fit your unique needs. At Hansen Miller Orthodontics, you’re more than just a patient—you’re part of our family.
Learn More
Exceptional Results
Everyone around Las Vegas deserves a beautiful smile—children, teens, and adults. We provide comprehensive services for every member of your family.
Learn More
Family Friendly Environment
With multiple locations across Las Vegas and Henderson, getting top-notch orthodontic care is easy and accessible. We bring our expertise right to your neighborhood.
Learn MoreMeet the Doctors
Our board-certified orthodontists bring passion, precision, and a personal touch to every smile. Get to know the team that will guide you to your perfect smile.
Dr. Tyson Miller
Dr. Tyson Miller brings a unique blend of athletic discipline and compassionate care to his practice. Raised in Henderson, Nevada, Dr. Miller is committed to helping patients achieve healthy, beautiful smiles in his hometown of Las Vegas and Henderson.
Learn MoreDr. Blaine Hansen
With over a decade of experience, Dr. Blaine Hansen has made Las Vegas his home, creating straighter, healthier smiles. His dedication to excellence and warm, family-oriented approach make him a trusted orthodontist in the community.
Learn More
Dr. Blaine Hansen
With over a decade of experience, Dr. Blaine Hansen has made Las Vegas his home, creating straighter, healthier smiles. His dedication to excellence and warm, family-oriented approach make him a trusted orthodontist in the community.

Dr. Tyson Miller
Dr. Tyson Miller brings a unique blend of athletic discipline and compassionate care to his practice. Raised in Henderson, Nevada, Dr. Miller is committed to helping patients achieve healthy, beautiful smiles in his hometown of Las Vegas and Henderson.

Dr. Monica Benaloul
Dr. Monica Benaloul brings precision and a gentle touch to every treatment. Her dedication to creating beautiful, lasting smiles shines through with every grin.

Dr. Tracy Wyatt
Dr. Tracy Wyatt combines meticulous care with a friendly approach. He partners with each patient to ensure their treatment is both effective and aligned with their goals.

Dr. Ryan Jolley
Dr. Ryan Jolley is committed to treating each and every patient like a member of his own family. Graduating Summa Cum Laude from BYU, Dr. Jolley brings that expertise to every smile he works with.

Dr. Jeremy James
A member of the American Association of Orthodontics, Dr. Jeremy James’ passion for fitness led him to study exercise science and biology, which led to his love of crafting happy, healthy smiles.

Invisalign
Invisalign provides a nearly invisible, flexible solution for straightening your teeth without the need for traditional braces.
Learn More
Metal Braces
Our modern metal braces are lighter, more comfortable, and just as effective, making them a reliable choice for all ages.
Learn More
Clear Braces
These ceramic brackets blend with your teeth, offering a discreet treatment option with all the benefits of traditional braces.
Learn More
3 Steps to Your New Smiles
Orthodontic treatment doesn’t have to feel intimidating. At Hansen Miller Orthodontics, you’ll enjoy every step of the way with an easy process, welcoming office, and fun team!
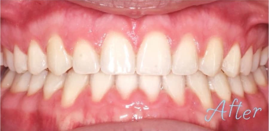
Smile Gallery
Every smile tells a story, and here are a few amazing before and after pictures of patients treated by our expert team.


What Our Patients Are Saying
Absolutely Love the Staff & Office!
I absolutely love the staff and everything about this office! Everyone was very welcoming, and the place looked beautiful. Couldn't recommend a better orthodontist—this is by far the best!
- Artaria J.
Friendly & Professional Team!
The team at Hansen Miller Orthodontics is always friendly and professional. Every visit has been an amazing experience, and I highly recommend them!
- Carl C.
Clean & Organized Office!
I absolutely love the staff and everything about this office! Everyone was very welcoming, and the place looked beautiful. Couldn't recommend a better orthodontist—this is by far the best!
- Ana T.
Super Friendly & Helpful Staff!
They were very professional and made sure I was comfortable during the whole process. The office is clean, the staff is super friendly, and they always go out of their way to make sure everything runs smoothly!
- Erick A.
Wonderful & Knowledgeable Staff!
The staff at Hansen Miller Orthodontics is wonderful. They made sure my son felt comfortable, and the entire process was smooth and easy. From the moment we walked in, we felt like we were in the best hands possible. I couldn't be happier with the results and the care we received!
- Elijah S.
A Fantastic Experience Every Time!
My son is currently under braces treatment and every visit we have been to has been an amazing experience. The office is very clean, and all staff are very friendly and professional.
- Gaby A.